Estetska stomatologija
Da li želite savršen osmeh i prirodan izgled Vaših zuba? Želite li da Vaš popravljeni zub izgleda kao prirodan? Vaša želja je ispunjena!
Savremena estetska stomatologija ne može se danas zamisliti bez tretmana bezmetalnim keramičkim krunicama (navlakama) u rehabilitaciji Vašeg osmeha. Razvoj keramičkih materijala omogućio je značajan pomak u protetskom zbrinjavanju, posebno u estetskom smislu.
Bezmetalne krunice u osnovi nemaju metal koji je crne boje, što omogućava da imaju transparentnost sličnu prirodnim zubima i maksimalan estetski efekat. U saradnji sa našim iskusnim timom dentalnih tehničara u situaciji smo da Vaše protetske radove (nadoknade) izradimo u naprednoj CAD-CAM tehnologiji, koja podrazumeva potpuno kompjuterizovan, brz i precizan ciklus izrade.




U našem Centru crne plombe se zbog svojih loših estetskih i bio-mehaničkih osobina ne praktikuju. Zahvaljujući razvoju sastavnih materijala, u prilici smo da pacijentima obezbedimo prirodan izgled popravljenog zuba koristeći tehniku slojevitog slaganja.
Modelovanjem specifičnosti oblika zuba, Vaš plombirani zub se neće razlikovati od zdravog.




Da li postoji nešto savršenije od bele (estetske) plombe? Odgovor je: da, postoji – to su inleji!
U situaciji kada je zub u većoj meri oštećen karijesom ili su postojeće crne (amalgamske) ili bele (kompozitne) plombe neadekvatne, idealno rešenje može biti inlej. Inleji predstavljaju korak više u savremenoj stomatologiji od kompozitnih (belih) plombi. Prednost je preciznija izrada i rubno zatvaranje ovih nadoknada. Estetski kvalitet je veći, a vek trajanja značajno duži u odnosu na plombe. Proces pripreme Vaših zuba je minimalno invazivan i potpuno bezbolan. U zavisnosti od indikacije inleji mogu biti izrađeni od keremike ili kompozita.
Za sve dodatne informacije o terapiji inlejima na raspolaganju Vam je naš stručni tim koji će Vam nakon pregleda izložiti poseban plan.


Najčešće pitanje je: Da li je izbeljivanje zuba bezbedno – odgovor je: DA!
U samom procesu izbeljivanja koriste se ph neutralni preparati sa kontrolisanim procentima aktivnih hemijskih supstanci koji čak doprinose prevenciji nastanka karijesa.Atraktivan osmeh i blistavo beli zubi (Hollywood smile) nekada su bili povlastica samo odabranih “VIP“ ličnosti. Danas na bezbedan i pristupačan način i Vi možete da uživate u osmehu kakav ste oduvek želeli.
U našem Centru primenjujemo renomirani Opalescence (Ultradent Products Inc.) sistem za izbeljivanje zuba. Postoje dve metode: kliničko izbeljivanje koje se sprovodi u Centru i kućno izbeljivanje koje sprovodi pacijent nakon dobijenih instrukcija.
Veoma je važno da ceo proces bude sproveden pod nadzorom stomatologa.


Da li ste se pitali zašto većina poznatih ličnosti ima savršen osmeh? Keramičke fasete mogu biti odgovor na Vaše pitanje!
U biološkom smislu, terapija fasetama je minimalno invazivna metoda kojom se uklanja samo tanak površinski sloj zuba, često bez potrebe za anestezijom. Gubitak zdrave zubne supstance je vrlo mali, a ishod terapije u estetskom i funkcionalnom smislu maksimalan.
Posebna pogodnost je što pacijent može na studijskom modelu da vidi budući izgled svojih zuba, kako ne bi imali nedoumica za tretman fasetama.


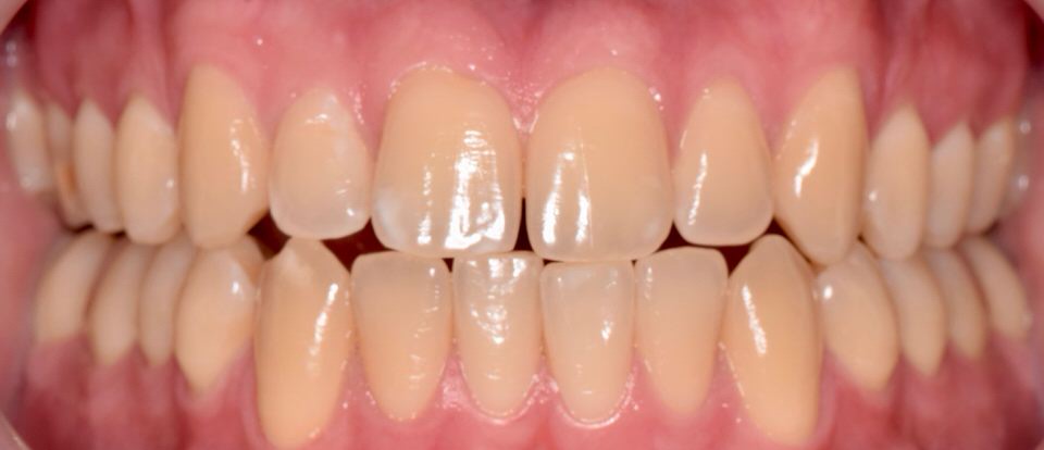
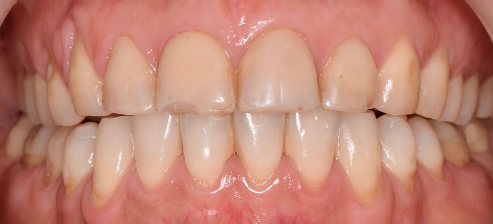
Pre / posle
Rezultati
Izbeljivanje zuba
Keramičke fasete
Imate pitanja ili želite da zakažete termin?
Pošaljite nam poruku putem kontakt forme ili nas pozovite na neki od sledećih brojeva: 011 3553 088 · 065 3553 088.



